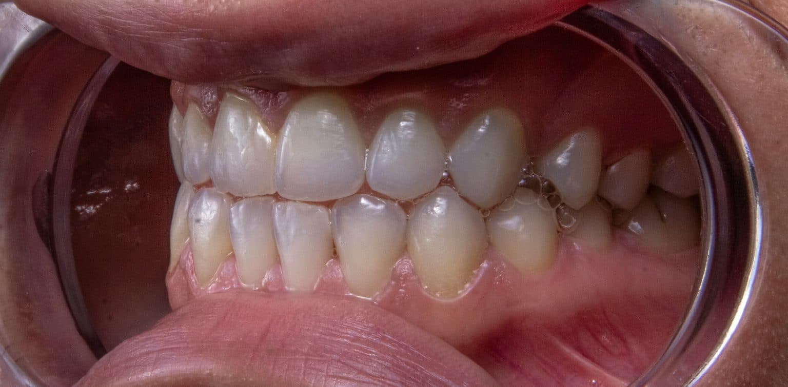
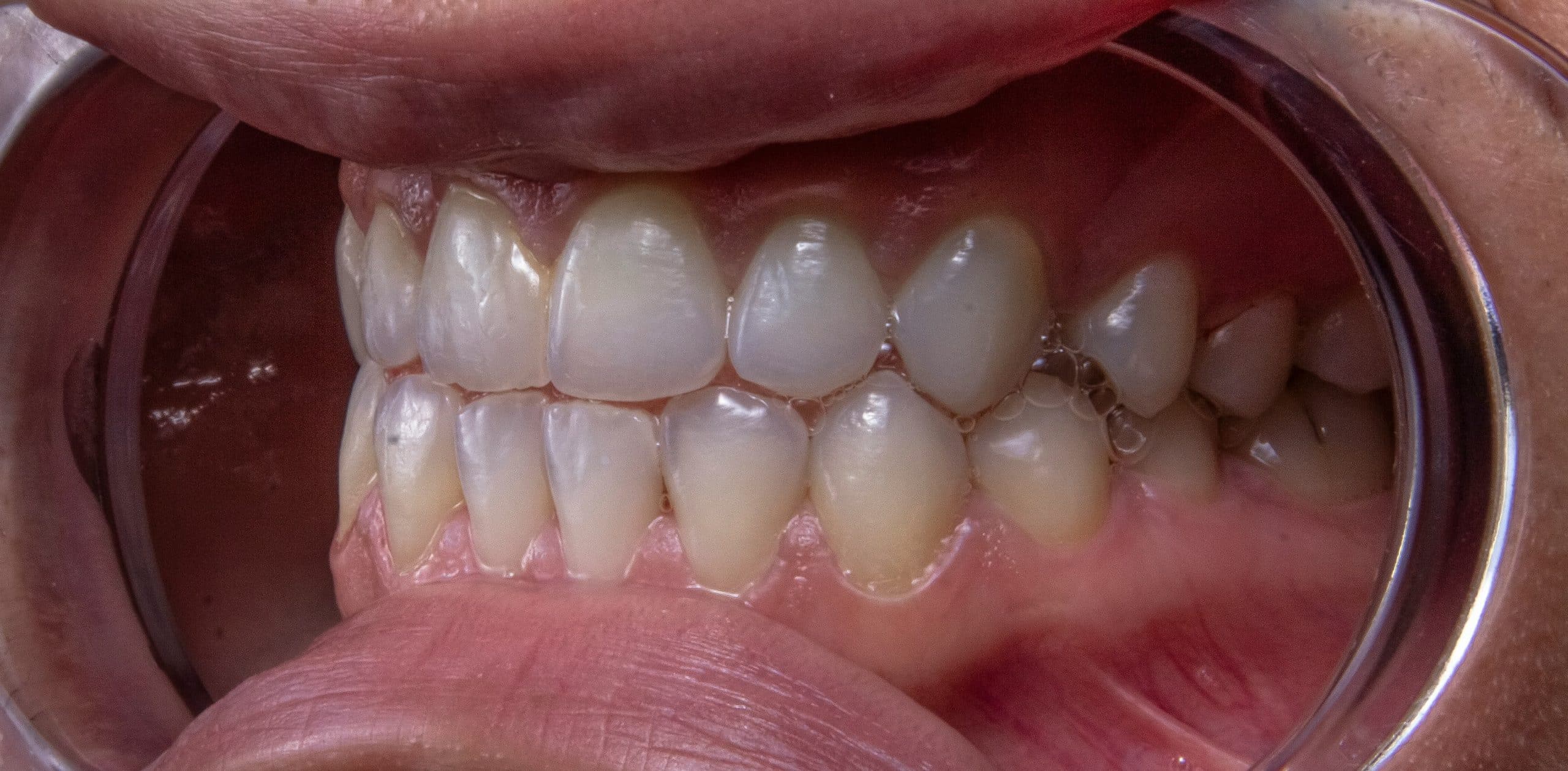
The pursuit of a perfectly uniform, radiant smile is a common goal in modern cosmetic dentistry. For many individuals, this journey involves teeth whitening with a professional like Dentist@29 to achieve a lighter, brighter overall shade. However, a common obstacle often prevents patients from achieving the seamless result they desire: white spot lesions (WSLs) on the tooth enamel.
These chalky, opaque white patches stand out against the surrounding enamel, often becoming more noticeable after a traditional whitening session. This happens because whitening brightens the entire tooth, but the porous, highly mineralised white spots lighten even faster, increasing the contrast and making them more pronounced.
This is precisely why white spot removal—a distinct and targeted treatment—is essential as a preparatory step for an optimal cosmetic outcome. Addressing the structural or mineral issue of the spots before whitening the bulk of the tooth ensures that the final result is not only brighter but also beautifully uniform and balanced.
This comprehensive guide delves into the causes of these spots, the revolutionary, minimally-invasive techniques used for their removal, and the critical sequence of treatment required to achieve a flawless smile transformation.
1. Understanding the Enemy: What Causes White Spot Lesions?
White spot lesions are not surface stains; they are a sign of enamel demineralisation, meaning the loss of essential minerals (primarily calcium) from beneath the enamel surface. This loss creates a porous, rough area in the enamel structure that scatters light differently than the surrounding healthy, translucent enamel, causing the spot to appear opaque white, or “chalky.”
The most common causes treated in UK practices include:
- Orthodontic Treatment (Braces): One of the most frequent causes. Plaque accumulation around brackets and wires makes cleaning difficult, leading to demineralisation marks appearing once the braces are removed.
- Fluorosis: Caused by excessive fluoride intake during the critical years of tooth development (childhood). This results in a mottled, chalky, or streaky appearance on the enamel.
- Enamel Hypoplasia: A developmental defect where the enamel does not form properly, leading to thin, weak, or deficient areas that appear white or brown. This can be linked to genetics, nutritional deficiencies, or trauma during infancy.
- Early Tooth Decay (Incipient Caries): White spots are often the very first clinical sign of a potential cavity forming, where acid attacks from plaque have started to dissolve the mineral structure.
Regardless of the cause, the spots disrupt the uniformity of the smile and must be specifically targeted before any overall shade change is attempted.
2. The Flawed Approach: Why Whitening Alone Fails White Spots
A common misconception is that professional teeth whitening will solve the white spot problem. In reality, it exacerbates the issue for two main reasons:
- Differential Brightening: White spots are already mineral-deficient and highly porous. When the bleaching agent is applied, it penetrates these porous areas far more efficiently than the healthy, dense enamel. The result is that the white spots become even whiter and more conspicuous against the newly brightened background.
- Structural Integrity: Whitening chemically alters the colour of the tooth structure; it does not structurally repair the demineralisation or change the light-scattering property of the porous spot. The difference in texture and porosity remains, resulting in a patchwork appearance rather than a smooth, even finish.
For a truly aesthetic result, the treatment must first mask or structurally blend the spots to match the healthy enamel before the entire tooth is brightened.
3. Modern, Minimally-Invasive White Spot Removal Techniques
Today’s leading UK cosmetic dentists utilise highly conservative techniques that often require no drilling and preserve maximum healthy tooth structure. The choice of technique depends on the depth and cause of the white spot lesion.
A. Resin Infiltration (Icon Treatment)
This revolutionary, single-visit treatment is the leading non-invasive method for removing white spots, particularly those caused by fluorosis or post-orthodontic demineralisation.
- How it Works: The key issue with a white spot is the trapped air and water within the porous enamel, which creates the opaque white appearance. Resin infiltration addresses this by equalising the light-refractive index.
- Etching: A special etching gel (usually hydrochloric acid) is applied to the white spot to gently open the microscopic pores in the enamel surface.
- Drying: An ethanol solution is applied to dry the pores completely.
- Infiltration: A low-viscosity, highly fluid resin (the infiltrant) is applied to the spot. Due to capillary action, this resin penetrates deep into the porous enamel structure, displacing the air and water.
- Curing: The resin is hardened with a curing light, sealing the lesion.
- The Result: The infiltrated resin has a light-refractive index similar to healthy enamel. By filling the pores, the light is no longer scattered, and the white spot visually blends into the surrounding tooth structure, often disappearing entirely. It is a drill-free, pain-free procedure that provides immediate, long-lasting aesthetic correction.
B. Micro-abrasion
This technique is effective for very superficial white or brown spots, particularly those caused by mild fluorosis or superficial stains.
- How it Works: Micro-abrasion involves the mechanical removal of an extremely thin layer of the enamel surface (typically less than 0.2mm) using a combination of an acidic agent and an abrasive paste (often silicon carbide microparticles).
- The Result: By gently polishing away the outermost, defective layer of enamel, the underlying, healthier enamel is exposed, resulting in a smoother, more uniform surface appearance. The procedure is safe, minimally invasive, and can often be completed in one appointment.
4. The Optimal Treatment Sequence: Order Matters
For patients seeking both white spot removal and overall smile brightening, the sequence of treatments is crucial for achieving a uniform, naturally beautiful result.
The Golden Rule: Treat the White Spots FIRST, then Whiten.
Step 1: White Spot Removal (Resin Infiltration or Micro-abrasion)
- The dentist selects the appropriate technique (often Resin Infiltration) to visually eliminate the white spots by blending them into the current colour of the adjacent healthy enamel.
- The goal here is not to whiten the tooth, but to ensure that the tooth’s surface is optically uniform and consistent in texture and tone.
Step 2: Healing and Stabilisation (2 Weeks)
- A brief two-week waiting period is recommended after the infiltration/micro-abrasion procedure. This allows the newly treated enamel and resin to fully stabilise before the bleaching agent is introduced.
Step 3: Professional Teeth Whitening
- Once the white spots are blended, a professional teeth whitening regime (either in-office or custom at-home trays) is commenced.
- The bleaching agent can now work evenly across the entire tooth surface, including the area of the previously treated white spot. Since the porosity has been sealed with the resin, the treated area will brighten consistently with the healthy enamel, ensuring the final result is a beautiful, uniform, and radiant smile without the distracting patchwork effect.
5. Why Choose Targeted White Spot Removal?
Choosing to invest in white spot removal before teeth whitening offers distinct advantages that enhance the overall value and aesthetics of your smile transformation:
Benefit
Description
Aesthetic Uniformity
Eliminates the risk of the spots becoming brighter after whitening, ensuring a truly smooth, monochromatic finish across all visible teeth.
Conservation of Enamel
Minimally-invasive techniques like Resin Infiltration require no drilling, preserving maximum healthy tooth structure.
Long-Term Health
Resin infiltration not only addresses the aesthetic but also seals the porous enamel, preventing the early decay lesion from progressing into a full cavity.
Confidence
Allows patients to achieve a significantly brighter smile without the self-consciousness associated with mottled or spotty enamel.
Conclusion: Achieving a Flawless, Radiant Smile
White spot lesions represent a common and frustrating aesthetic challenge that cannot be solved by simply applying a bleaching agent. For anyone seeking a truly seamless and bright smile, targeted white spot removal is a critical, foundational step.
By utilising advanced, minimally invasive techniques such as Resin Infiltration, skilled dental professionals can structurally and optically blend these distracting chalky patches into the natural enamel. This preparatory work allows the subsequent teeth whitening to be effective across the entire surface, transforming a potentially mottled result into a uniform, balanced, and confident smile.
If white spots are standing between you and the radiant smile you desire, a consultation with a cosmetic dental expert can confirm the cause of the lesions and design a phased treatment plan—starting with removal and finishing with whitening—to ensure a truly flawless outcome.
